近日,中国科学院大学深圳医院龙发主任团队完成一例LungPro导航引导下行BTPNA,经肺实质抵达病灶中心后激光消融治疗,手术顺利成功,对肺癌消融进行深一步探索!
患者老年男性,72岁,因“间断性右侧胸痛5月余,加重半月”入院,已明确病理诊断为“肺鳞癌”。
患者病灶位于右上叶前段,病灶大小约77mm*67mm*59mm,病灶较大,由于患者已是癌症晚期,出现多发转移,不具备手术指征,因此考虑姑息性治疗。龙主任结合病情拟LungPro导航引导下行BTPNA肺部肿瘤微创介入治疗——激光消融治疗。
如上图所示,该患者病灶有明显气道相通,但气道紧挨病灶边缘,单纯气道内消融无法抵达病灶中央,达到最大的消融治疗效果,因此选择内外结合法——气道内消融+气道外消融。拟在LungPro导航引导下行BTPNA术,直接抵达病灶中心,随后进行气道外消融。

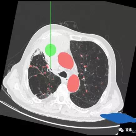
气道内消融预测范围

气道外消融预测范围
术前路径规划
一、气道内消融路径规划

右上叶RB1
RB1的b支

RB1b支的左下亚支
二、气道外消融路径规划

POE穿刺点位于RB3

建立隧道直达病灶中心
术中操作
一、气道内激光消融
术中,根据LungPro导航术前规划的路径,导航实时引导支气管镜抵达靶点部位附近,先用超声确认抵达病灶位置,再将激光光纤送入术前规划部位,进行消融。

送入超声探头

超声确认抵达病灶

送入激光光纤
二、气道外激光消融
在LungPro引导下抵达RB3开口处,按照术前规划的避开血管的POE穿刺点进行穿刺,X光透视下鞘管顺利抵达病灶中央,经肺实质建立隧道,再将激光光纤送入,行激光消融术。

导航实时引导至POE点

使用FleXNeedle针穿刺

球囊扩张穿刺孔

推入鞘管

透视引导下经鞘管建立肺实质隧道

超声确认抵达病灶

消融后,可见激光纤维前端残留明显碳化组织。
术后
患者无气胸及其它明显不适症状,拟定定期复查,根据具体效果进一步调整治疗方案。
医院服务号
预约挂号、微信支付
总院区地址:深圳市光明区公明北环大道1459号
东院区地址:深圳市光明区光明街道华夏路39号(新城公园旁)
西院区地址:深圳市光明区马田街道松白路4253号
备案号: 粤ICP备13025055号
粤公网安备:44031102000470号
