2020年1月9日,由Broncus和中国科学院大学深圳医院共同举办的中印BTPNA介入诊疗学术交流会暨亚太BTPNA技术培训基地挂牌仪式圆满落幕顺利召开,并宣布由中国科学院大学深圳与Broncus携手共建的“亚太BTPNA技术培训基地”正式成立。
会议伊始,中国科学院大学深圳医院吴本清副院长和呼吸与重症医学科主任龙发先生分别发表讲话,随后Broncus总经理湛国威先生致辞,共同宣布亚太BTPNA技术培训基地挂牌仪式正式开始。
由中国科学院大学深圳医院(光明)吴本清副院长、呼吸与危重症学科龙发主任携手Broncus湛国威总经理、李振华总经理共同为“Broncus亚太BTPNA技术培训基地”揭牌。
揭牌仪式后,在龙发主任开展手术演示。手术前,龙发主任与多位印度专家针对手术病例进行了谈论,制定了手术路径,其中包括一台气道内活检病例(Lungpoint),以及两台无明显气道相通病例(BTPNA)。隧道路径分别为36mm及34mm。均成功建立隧道,X光及超声小探头确认抵达病灶,耗时分别为20分钟、15分钟。
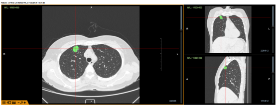
病例1:病灶位于右上叶前段,病灶大小约2cm,POE点位于RB3亚亚段,隧道长度36mm,使用FlexNeedle针穿刺,球囊扩张,再送入鞘管,于X光及超声下确认抵达病灶约耗时20份。
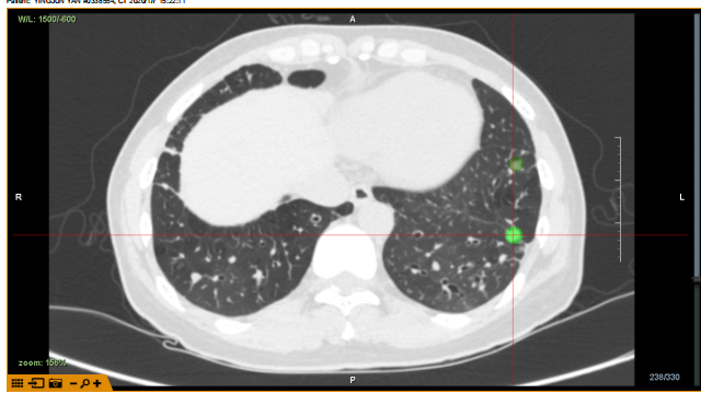
病例2:病灶位于LB9,大小约9mm,隧道路径约34mm,POE 点位于RB9亚亚段。
手术演示结束后,龙发主任与各位印度专家就目前呼吸介入诊疗技术分享各自的心得,龙发主任详细介绍了目前科室开展的多项国内外领先内镜介入技术:包括支气管热成形术(BT)治疗重度难治性哮喘、Lungpro多模态全肺导航支气管镜下经肺实质肺外周结节取样术(BTPNA)及肺癌消融术、CT引导下经皮肺活检术及肺癌消融术、支气管镜单向活瓣肺减容术治疗重度肺气肿和难治性气胸、光动力治疗肺癌、超声支气管镜引导肺活检及纵膈淋巴结针吸活检术(EBUS-TBNA)等。龙发主任陈诉目前已经为355例肺外周结节成功进行Lungpro引导下经支气管镜活检术,其中包括气道内活检例数333例,气道外活检(BTPNA下)例数22例。目前统计气道内活检阳性率为80.1%,气道外活检(BTPNA下)阳性率为86.3%,并提到未来可通过BTPNA技术为平台治疗更多肺部疾病,为呼吸介入治疗领域源源不断提供更多安全有效的治疗手段。印度专家也介绍了印度呼吸疾病诊疗新进展,现场学术氛围浓郁。
最后,在手把手演示环节,印度专家在Broncus临床应用同事指导下体验操作LungPoint增强现实导航,充分了解导航技术,迅速掌握导航操作技巧。
至此,中印BTPNA介入诊疗学术交流会暨亚太BTPNA技术培训基地挂牌仪式在浓厚的学习氛围中圆满落幕。

亚太BTPNA技术培训基地

吴本清副院长

龙发主任

揭牌仪式合影

专家合影

揭牌仪式现场

病例1

X光与超声确认抵达病灶

病例2

X光与超声确认抵达病灶

手术现场

学术沙龙

手把手演示环节
医院服务号
预约挂号、微信支付
总院区地址:深圳市光明区公明北环大道1459号
东院区地址:深圳市光明区光明街道华夏路39号(新城公园旁)
西院区地址:深圳市光明区马田街道松白路4253号
备案号: 粤ICP备13025055号
粤公网安备:44031102000470号
