当医生告诉李女士从听诊器里听到了她动静脉内瘘清晰而响亮的血流声时,她眼里充满感激,激动的说到:“我又重燃了对未来生活的信心”。
来自四川的47岁李女士,在1年前诊断出慢性肾病5期,每周需进行3次血液透析,犹如一个晴天霹雳,彻底改变了她的生活。因李女士自身血管细小、条件不佳,辗转省内外多家医院寻求帮助,都未能成功建立起“生命线”,曾经好不容易建立起人工动静脉内瘘,术后第一天就出现闭塞无法使用。
2019年12月底,李女士听闻我院血管外科开展“三名工程”项目,引进了四川大学华西医院血管中心团队,抱着一线希望找到了血管中心主任赵纪春教授。
赵纪春教授立即带领科室医护人员进行术前查房,并亲自带着李女士做超声检查,全面评估李女士的血管情况,综合评估检查结果,为李女士“量身定制”手术方案。
术前超声检查提示:双侧上肢血管较细小。右侧前臂桡动脉内径1.3mm,前臂头静脉内径1mm。
赵纪春教授考虑到李女士头静脉细小,不到1mm;唯一能使用的静脉血管只有贵要静脉,但该血管较短;人工血管价格昂贵。最终确定:移植自体大隐静脉一段接上贵要静脉,解决贵要静脉长度不够的问题。
第二天一大早,赵纪春教授的带领血管外科团队为李女士实施手术,血管手术是一项“精细活”,此次手术要求术者具备非常娴熟的手法与技巧。术中按照昨天拟定的手术方案实施,整个过程非常顺利,术后局部震颤明显,血管杂音清晰,无明显渗血。
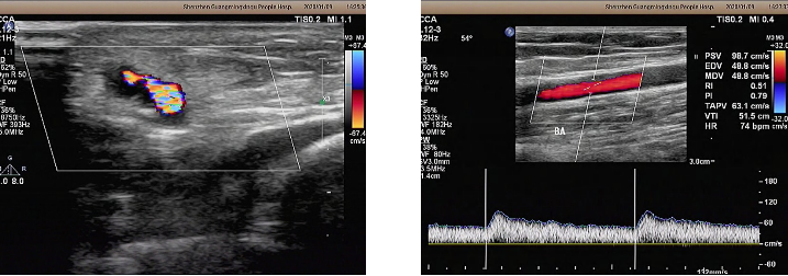
术后超声检查:吻合口上方贵要静脉内径正常,血流通畅。吻合口未见明显狭窄,管腔未见明显血栓。
如今,李女士血管恢复良好,震颤明显,不出多久就可以使用这条“生命线”进行透析治疗了。
自2018年“三名工程”项目开展以来,赵纪春教授血管中心团队定期来我院血管外科指导学科建设工作,对于类似李女士的慢性肾衰竭、尿毒症患者,多因复杂、难度高的血透通路建立、并发症、失效等原因,患者朋友找到了中国科学院大学深圳医院血管外科团队为其进行挽救和翻修。
汪涛副院长介绍,对于每一位血液透析患者,血管外科团队都会根据患者自身的情况、通路手术的要点及并发症的特点,认真负责的为血液透析患者定制“生命线”,最终延长血透通路的使用寿命,为市民的健康保驾护航。
相关知识:“爱护内瘘,善待生命”
血液透析是目前治疗慢性肾衰的有效方法之一,良好的血液通路是保证长期顺利血液透析的关键。动静脉内瘘是为了进行长期血液透析治疗而建立的血管通路,动静脉内瘘的血管能为血液透析治疗提供充足的血液,为透析治疗的充分性提供保障,是血液透析病人的“生命线”。
“透析使用动静脉瘘大大降低了导管感染的风险,尿毒症患者透析期间可以使用很多年。” 汪涛副院长提醒,患者做瘘的手臂需要小心保护,如血压检查、静脉注射、抽血和任何类型注射,手臂带珠宝饰品或其他沉重的东西都是禁忌,并且衣服需要宽松,内瘘处要保持干净。

术前查房

术前超声检查

赵纪春教授的带领血管外科团队为李女士实施手术

术后超声检查
医院服务号
预约挂号、微信支付
总院区地址:深圳市光明区公明北环大道1459号
东院区地址:深圳市光明区光明街道华夏路39号(新城公园旁)
西院区地址:深圳市光明区马田街道松白路4253号
备案号: 粤ICP备13025055号
粤公网安备:44031102000470号
